Hỗ trợ: 0989463345
PALFIQUE UNIVERSAL FLOW là loại composite dạng lỏng của thương hiệu Tokuyama, Nhật Bản. Nó có tính chảy lỏng mang lại thẩm mỹ và vật lý-cơ học tuyệt vời, bệnh nhân sẽ không còn phải đối mặt với quá trình phục hồi lâu dài hay nguy cơ xâm lấn.
ĐẶC TÍNH TUYỆT VỜI:
• Kết hợp phổ màu rộng và pha trộn
• Khả năng đánh bóng và duy trì độ bóng cao
• Độ bền cao
• Chống co ngót và xâm lấn tối thiểu
• Chống ố màu
• 3 tùy chọn khả năng chảy lỏng và khả năng xử lý tốt
• Chiếu đèn quang trùng hợp trong thời gian ngắn
• Thay đổi sai lệch màu sắc tối thiểu khi bảo dưỡng về sau
CHỈ ĐỊNH:
• Phục hồi trực tiếp răng cửa và răng sau
• Trám lót khe kẽ
• Chặn các khe kẽ hở trước khi thực hiện phục hình gián tiếp

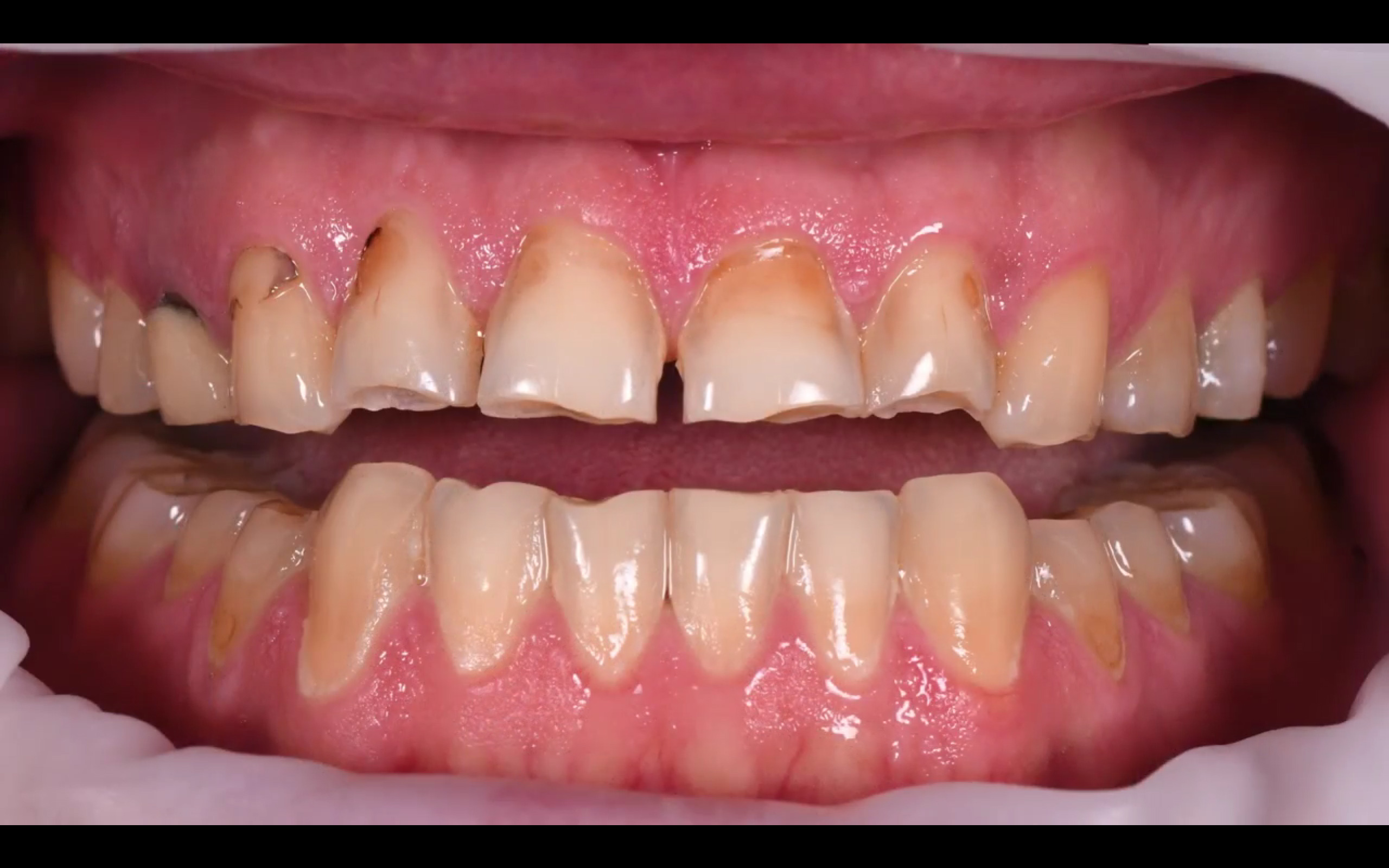
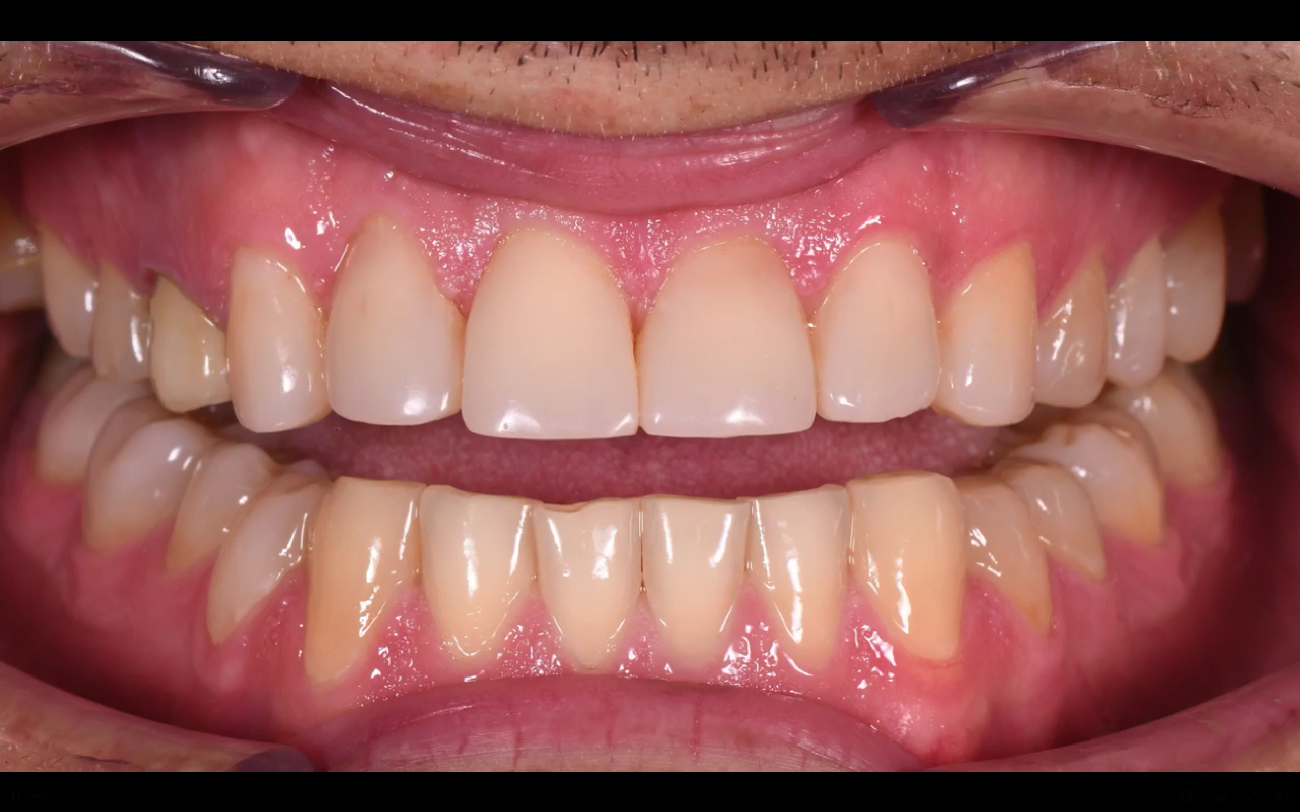
Hình ảnh trước và sau khi phục hình bằng composite lỏng PALFIQUE® UNIVERSAL FLOW






