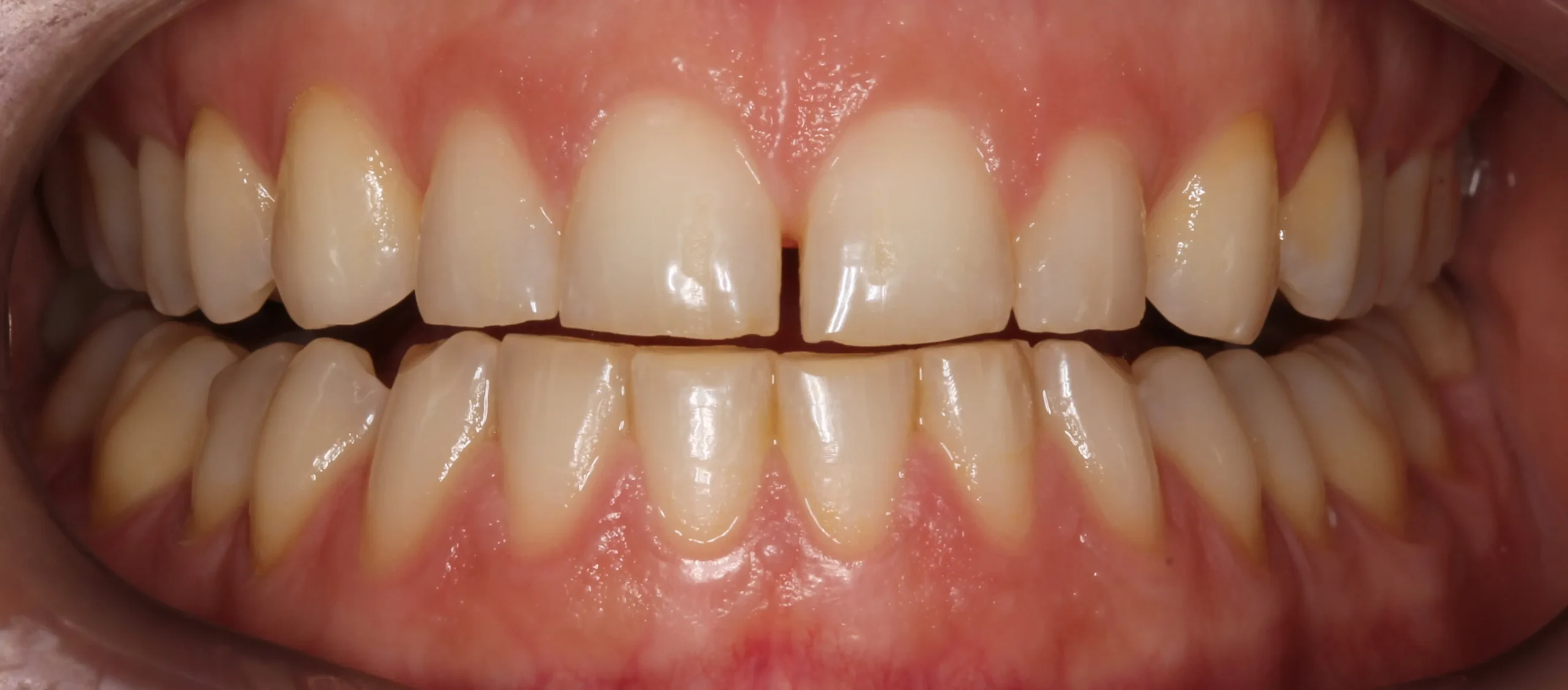
Theo BS.CK2 Bùi Thị Loan Chi (Khoa Răng, Bệnh viện Quân y 175), thói quen dùng tăm xỉa răng để lấy thức ăn thừa còn sót lại trong các kẽ răng có thể tổn hại men răng, chảy máu nướu dẫn đến tụt nướu, lộ chân răng gây ê buốt, tạo khe hở thưa kẽ giữa các răng.
Tăm có thể gây hư hại cho các phục hình răng
Trường hợp bạn có miếng trám, mặt dán sứ hoặc mão răng (chụp răng, bọc răng...), khi dùng tăm có thể vô tình cạy chúng ra khỏi răng.
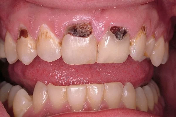
Tổn thương nướu, sâu cổ răng, nhiễm trùng
Một số trường hợp tăm xỉa răng bị gãy, đặc biệt là những loại tăm giá rẻ, khiến những mảnh gỗ nhỏ mắc kẹt giữa các kẽ răng hay trong nướu, thậm chí đâm vào vòm miệng... nguy cơ nhiễm trùng răng miệng.

Tổn hại men răng, mòn răng
Tăm thường được làm bằng gỗ hoặc tre với hai đầu nhọn, xỉa răng sẽ gây tổn hại men răng. Nhiều người nhai tăm có thể dẫn đến mòn men răng sớm.

Để thay thế tăm truyền thống hiện nay đã có nhưng phương pháp mới như: chỉ nha khoa, tăm chỉ nha khoa, bàn chải kẽ răng.
Nếu bạn gặp khó khăn khi sử dụng chỉ nha khoa, thì máy tăm nước là lựa chọn hoàn hảo dành cho bạn. Máy sử dụng áp lực nước để loại bỏ thức ăn thừa ở kẽ răng, đặc biệt hữu ích cho những người đang niềng răng và gặp khó khăn khi vệ sinh răng miệng.
Và bạn có thể trải nghiệm ngay với Máy tăm nước Bitvae C2, đạt chuẩn chứng nhận của Hiệp Hội Nha Khoa Hoa Kỳ (ADA), là sản phẩm chăm sóc răng miệng bán chạy nhất trên nền tảng Amazon.

 Kèm 5 vòi phun tiêu chuẩn và 1 đầu cạo lưỡi, nhiều chế độ vệ sinh đa dạng cho mọi góc cạnh của răng và nướu
 Kèm 5 vòi phun tiêu chuẩn và 1 đầu cạo lưỡi, nhiều chế độ vệ sinh đa dạng cho mọi góc cạnh của răng và nướu
 Sạc nhanh trong 4 tiếng cho 21 ngày sử dụng ở mức trung bình thường nhật
 Sạc nhanh trong 4 tiếng cho 21 ngày sử dụng ở mức trung bình thường nhật
 Khả năng chống nước đạt chuẩn IPX7 bảo vệ an toàn khi sử dụng trong nhà tắm
 Khả năng chống nước đạt chuẩn IPX7 bảo vệ an toàn khi sử dụng trong nhà tắm
 Thiết kế tối giản chỉ với 2 nút chức năng (Nút nguồn & Nút chế độ) thân thiện và dễ sử dụng đối với người lớn tuổi
 Thiết kế tối giản chỉ với 2 nút chức năng (Nút nguồn & Nút chế độ) thân thiện và dễ sử dụng đối với người lớn tuổi
 Bình chứa nước dung tích 300ml giúp bạn không cần phải bơm thêm nước trong quá trình sử dụng
 Bình chứa nước dung tích 300ml giúp bạn không cần phải bơm thêm nước trong quá trình sử dụng
 Được kiểm chứng và tin dùng bởi các chuyên gia nha khoa hàng đầu, đây là lý do Máy tăm nước Bitvae C2 được xem là một trong những sự lựa chọn hàng đầu trên thị trường hiện nay.
 Được kiểm chứng và tin dùng bởi các chuyên gia nha khoa hàng đầu, đây là lý do Máy tăm nước Bitvae C2 được xem là một trong những sự lựa chọn hàng đầu trên thị trường hiện nay.
Bài viết có sử dụng tư liệu từ Vnexpress:
https://vnexpress.net/tai-sao-khong-nen-dung-tam-xia-rang-4808027.html
Quý khách vui lòng liên hệ với chúng tôi để được nhân viên tư vấn chi tiết.
Trân trọng,
---------------------------------------------------
𝑪𝒐̂𝒏𝒈 𝒕𝒚 𝑻𝑵𝑯𝑯 𝑵𝒉𝒂 𝒌𝒉𝒐𝒂 𝑻𝒉𝒂́𝒊 𝑩𝒊̀𝒏𝒉 𝑫𝒖̛𝒐̛𝒏𝒈
- Địa Chỉ: Số 4, Ngõ 102, Khúc Thừa Dụ, Phường Dịch Vọng, Quận Cầu Giấy, Hà Nội.
- Địa Chỉ: 13D Phan Chu Trinh, Phường 2, Quận Bình Thạnh, TP. Hồ Chí Minh.
- Hotline: 0909.595.081 (TP. Hồ Chí Minh) – 0989.463.345 (Hà Nội)
Website: www.thaibinhduongdental.com/
 
							
 // thay = width tương ứng
								 // thay = height tương ứng
								
								 // thay = width tương ứng
								 // thay = height tương ứng
							 
								 
	 
	 
	